Echographie de l'abdomen d'un chat qui vomissait. A la palpation présence d'une masse. L'échographie a permis de diagnostiquer un lymphosarcome ( cancer) intestinal.

Petit chien qui a une insuffisance rénale diagnostiquée à la prise e sang; L'échographie montre que les reins sont remplacés en grande partie par une cavité remplie de liquide, ce qui a permis de conclure que malheureusement il n'y avait pas de traitement possible.

Echographie de la vessie d'un chat qui a des difficultés pour uriner. L'examen met en évidence une grande quantité de cristaux (sablose vésicale) dans la vessie

29 juin
Nala est tombée sur des barbelés et sa plaie s'est infectée. A ce stade c'est la première fois que je la vois. Les fils en bordure de plaie servent à suturer le pansement pour qu'il ne glisse pas

Nala est une petite chatte exceptionnelle.On change son pansement, une très grosse couche de furacine, des compresses absorbantes, un pansement tubulaire (elastofix) et un manteau (durée de l'intervention, minimum 30 minutes), tous les 2 jours pendant 15 jours et ensuite tous les 3 jours. Elle reçoit juste un léger calmant ( pas anesthésiée) et se laisse faire, il ne faut pas la tenir, juste la réconforter .

A la fin , on enfile un manteau pour qu'elle ne touche pas son pansement et elle reçoit une petite récompense

9 juillet
La plaie évolue bien , grâce aux pansements, ET à son propriétaire qui ne lui interdit rien, elle peut aller et dormir où elle veut même si elle fait des taches qui heureusement s'enlèvent à l'eau, (quoique pour le matelas ce sera plus difficile) mais cela lui permet de garder un moral d'acier, très important de se sentir bien pour une bonne guérison.

21 juillet
La guérison suit son cours, même au niveau de l'aine, région pourtant toujours en mouvement

6 août
Bonne guérison au niveau de l'aine et de la plaie en général

18 août
La guérison est moins spectaculaire mais bientôt ce ne sera plus qu'un mauvais souvenir. Surtout quand on voit d'ou on vient

21 août
On va y arriver , encore une belle progression en seulement 3 jours

29 août
Les pansements sont terminés , on met un peu d'isobétadine sur la plaie et un manteau. Quand je vois l'évolution, c'est presque incroyable, mais je vous assure les photos ne sont pas truquées et il s'agit bien du même chat...

Pas stressée pour un sous, elle fait sa toilette pendant que je fais le pansement. Ce qui me gène c’est que parfois elle joue avec le fil pendant que je suture le pansement…
Mêmes symptômes que le chat sur la troisième photo, le chat va souvent dans son bac, fait des petites gouttes d'urine teintée de sang et parfois fait hors de son bac L'echographie montre la présence de deux calculs qui pourront soit être dissous par un régime adéquat ou devront être enlevés par chirurgie si ils ne disparaissent pas, alors que dans le premier cas un régime est très souvent suffisant.
Evolution:le régime instauré a été efficace, trois semaines plus tard les calculs avaient disparu

Frottis dermatologie
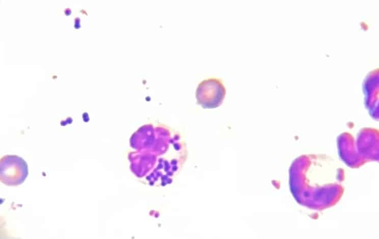
Image microscopique de bactéries phagocytées dans un globule blanc.

Ce petit chat a dû être euthanasié car il était en détresse respiratoire. C'est une image un peu forte mais ce sont ses poumons qui présentent des lésions très étendues d'emphysème. C'est un chat dont le propriétaire était fumeur, la cigarette n'est bonne pour personne.....

Shiba a des problémes cutanés, depuis toujours, infection, prurit depuis longtemps, elle a été adoptée dans cet état

Un an après, avec une ration ménagère, plus rien d'industriel, sevrage médicamenteux progressif,( elle ne reçoit plus rien), mais avec beaucoup d'attention et de bienveillance de son nouveau propriétaire, la voici

Radiographie 1 semaine avant l'accouchement, permet de compter le nombre de chiots, on compte les têtes ou les colonnes, dans ce cas 3 chiots

Prolifération tissulaire au niveau de la gencive. Il s'est avéré que c'était un tissu inflammatoire secondaire à une lésion de la couronne de la dent. Une fois celle-çi enlevée ce tissu a disparu, cela aurait pu être tumoral.

Tumeur juste en dessous de la griffe. Une ponction est réalisée et envoyée au laboratoire pour analyse. Il s'agit d'un histiocytome , tumeur qui peut régresser toute seule.

Un peu de patience et la tumeur a disparu, pas besoin d'opérer

Radiographie de l'abdomen d'un lapin qui ne mange plus. Il y a une importante accumulation de gaz dans les intestins.

Radiographie d'une poule, il y a une masse importante dans le bas de l'abdomen, les petits points blancs sont des graviers dans son gésier

Hamster qui se gratte et la propriétaire présente également quelques piqûres. Peu de parasites sur l'animal, mais beaucoup dans son environnement, l'examen microscopique permet d'identifier Ornithonyssus bacoti. Un traitement de l'animal et de son environnement sont mis en place.

Lapin qui a des difficultés pour se nourrir. Un examen de la cavité buccale avec un otoscope à permis de déceler des molaires beaucoup trop longues. Il a été anesthésié et ses dents ont été raccourcies

Masse rougeâtre dans le fond de la bouche. Il s'agit "tumeur" à éosinophiles qui a régressé avec l'administration de corticoïdes

Un chat de 13 ans est venu pour vomissements. Comme il est maigre et qu'il boit un peu plus, j'ai proposé une échographie. Le rein a une apparence anormale, il est hyperéchogène, ce qui fait penser à une néphrite. Une prise de sang effectuée a permis de confirmer une insuffisance et une infection rénales , un traitement a pu être instauré le soir même.

